-
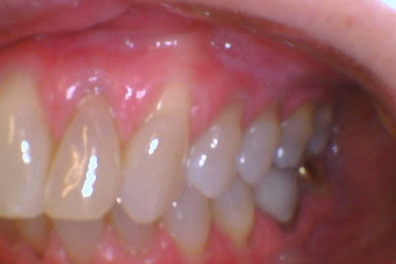
Before
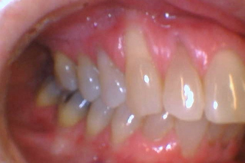
After
Pinhole procedure
Read About This RestorationPatient Debra was referred to Dr. Neda for gum recession. Debra presented with gum recession and class 1 mobility and multiple areas with no keratinized tissue. Dr. Neda performed the pinhole procedure with phenomenal results.
-
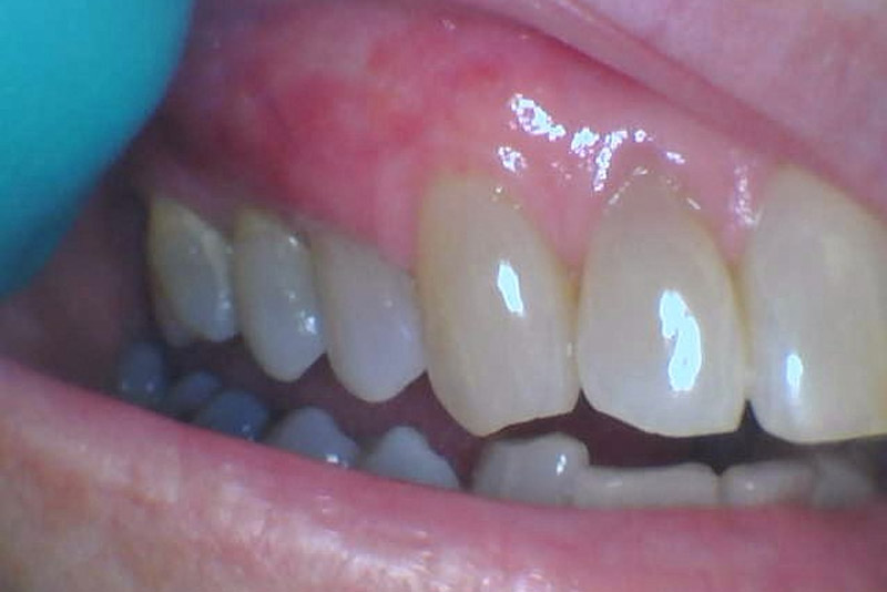
Before
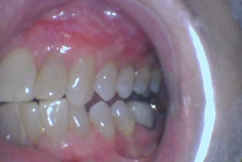
After
Pinhole procedure
Read About This RestorationPatient Debra was referred to Dr. Neda for gum recession. Debra presented with gum recession and class 1 mobility and multiple areas with no keratinized tissue. Dr. Neda performed the pinhole procedure with phenomenal results.
